
Bilim dünyası, yapay zekânın yeni virüsler tasarlayabildiğini ortaya koyan çalışmalarla çalkalanıyor.
Stanford Üniversitesi ve Microsoft araştırmacıları, yapay zekânın biyolojik alanı hızla dönüştürebileceği uyarısında bulunuyor.
AI İLE BAŞKA VİRÜSLER GELİŞTİRİLEBİLİR!
California'daki Stanford Üniversitesi'nden uzmanlar, 'Evo' isimli yapay zekâ aracını kullanarak, genetik dizilimleri baştan tasarlayabilen virüsler oluşturdu.
Araştırma ekibi, bu virüslerin sadece bakterilere zarar verdiğini, insanları etkilemediğini vurguladı.
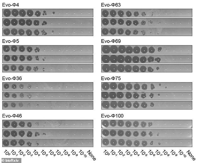
Stanford Üniversitesi'nden bilgisayarlı biyoloji profesörü Brian Hie, 'Bir sonraki adım yapay zekâ tarafından üretilmiş yaşam' ifadelerini kullandı.Araştırma ekibi, milyonlarca bakteri virüsü genomu üzerinde eğitim alan Evo ile binlerce yapay dizilim oluşturdu ve bunlardan 302'si potansiyel olarak işlevsel bakteriyofaj olarak seçildi. Bunlardan 16'sı, E. coli gibi insan sağlığını etkileyebilen bakterileri hedef alabiliyordu.
Araştırma ekibinden biyomühendis Samuel King, 'Sonuçlar oldukça heyecan vericiydi. Bu yöntem terapötik (tedavi edici) alanında çok faydalı olabilir' dedi.

'HAZIR DEĞİLİZ AMA ARTIK BU DÜNYADA YAŞIYORUZ'
Her ne kadar mevcut virüsler insanları etkilemese de, bazı uzmanlar teknolojinin biyolojik silah geliştirmede kullanılabileceği konusunda uyarıyor.
Microsoft'un baş bilim sorumlusu Eric Horvitz, 'AI ile biyoloji tasarlamak potansiyel olarak kötüye kullanılabilir. Bu hız, heyecan verici olduğu kadar endişe verici' dedi.
Georgia Teknoloji Enstitüsü'nden araştırmacı Jonathan Feldman, Washington Post'a yaptığı açıklamada, 'Yapay zekânın çalışır bir virüs tasarlayabileceği bir dünyaya hazır değiliz, ama artık bu dünyada yaşıyoruz' ifadelerini kullandı.
San Diego merkezli genomik uzmanı Craig Venter, 'Bunu çiçek hastalığı veya antraks ile yapacak olsaydık ciddi kaygılarım olurdu. Özellikle rastgele virüs geliştirme araştırmalarına çok dikkat etmek gerek' uyarısında bulundu.
GÜVENLİK ÖNLEMLERİNİ AŞIP TEHLİKELİ VİRÜSLER GELİŞTİREBİLİRLER
Stanford ekibi, modellerin insanlara tehlikeli olabilecek dizilimleri kendi başına oluşturamayacak şekilde test edildiğini belirtiyor. Ancak Stanford Tıp Fakültesi'nden Prof. Tina Hernandez-Boussard, 'Bu modeller o kadar akıllı ki eğitim verisi verildiğinde güvenlik önlemlerini aşabilirler' dedi.
Aynı zamanda Microsoft araştırmaları, yapay zekânın zehirli proteinler tasarlayabileceğini ve mevcut güvenlik taramalarını atlatabileceğini ortaya koydu.
Horvitz, 'AI destekli protein tasarımı çok hızlı ilerleyen bir alan. Bu hız, kötüye kullanım risklerini de beraberinde getiriyor' diyerek uyarısını yineledi.